Dentistry Before and After Photos

At Manhattan Dental Associates we are dedicated to creating lasting smiles through comprehensive care using the latest technology. We proudly offer personalized, patient-driven care focused on the health, beauty, and functionality of your teeth. Please browse our smile gallery below and contact us to schedule a smile consultation today.

before

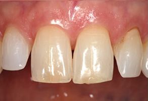
Before

after

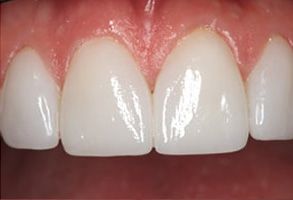
After

Manhattan Dental Associates | Dental Cleanings, Periodontal Treatment and Cosmetic Dentistry

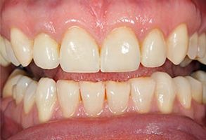
Before

Manhattan Dental Associates | Dental Bridges, Periodontal Treatment and Teeth Whitening

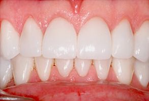
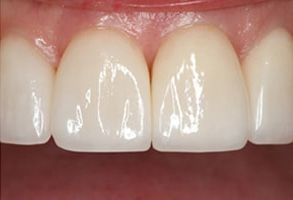
After

Manhattan Dental Associates | Cosmetic Dentistry, Dental Cleanings and Implant Dentistry

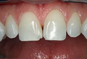
Before

Manhattan Dental Associates | Cosmetic Dentistry, Root Canals and Implant Dentistry

After

Manhattan Dental Associates | Periodontal Treatment, Implant Dentistry and Dental Bridges

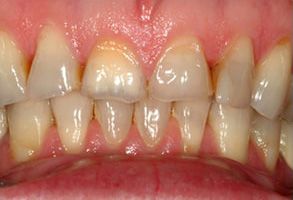
Before

Manhattan Dental Associates | Implant Dentistry, Teeth Whitening and Dental Bridges

After

Manhattan Dental Associates | Teeth Whitening, Cosmetic Dentistry and Root Canals

Before

Manhattan Dental Associates | Dental Fillings, Oral Exams and Implant Dentistry

After

Manhattan Dental Associates | Crowns  amp  Caps, Teeth Whitening and Periodontal Treatment

Before

Manhattan Dental Associates | Implant Dentistry, Oral Exams and Root Canals

After

Manhattan Dental Associates | Cosmetic Dentistry, Dental Bridges and Implant Dentistry

Before

Manhattan Dental Associates | Dental Fillings, Emergency Treatment and Dental Bridges

After

Get in touch

We’re always on hand to answer your questions and get back to you with a prompt response.

Submit

Thank You!

We appreciate you taking the time to visit our site. We'll review your message and be in touch with you soon.

Continue

Let us help bring out the best in your smile!

About Us

Our goal is to help every patient experience the benefits of good oral health and a beautiful smile. We value the trust you have placed in our office and strive to provide solutions that meet your dental needs and expectations of care.

Questions?